关于易齐美
微笑测试
产品中心
主要适应症
病例展示
动态资讯
医生登录
防伪查询
EN
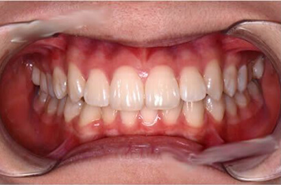
牙列拥挤
牙列间隙
开颌
反颌
深覆盖
深覆合
a
电话咨询
微信咨询
关于易齐美
返回顶部